気まぐれブログBlog

気まぐれブログ
-
-

- 2025/04/25
-
YouTube動画でわかりやすく解説、EMAT根管治療とは何か。
-
-
-

- 2021/08/14
-
根管治療後の金属の土台は審美治療に問題を起こす。
-
-
-

- 2021/03/07
-
よくある根管治療失敗の原因をお話します。
-
-
-

- 2021/03/06
-
根管治療を途中で放置していませんか?根管治療の成功率が下がりますよ。
-
-
-

- 2020/03/29
-
オールセラミックが割れた原因を探れ!!
-
-
-

- 2020/03/21
-
MTAセメントで歯を保存できる
-
-
-

- 2020/03/08
-
根管治療失敗の原因は何か?
-
-
-
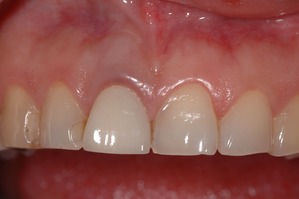
.jpg)
- 2020/02/29
-
上顎前歯のオールセラミック治療の流れと実際
-
-
-
メタルタトゥー.jpg)
- 2020/02/24
-
金属の土台の罪悪
-


