確実な虫歯治療Reliable caries treatment

自費用レジンを用いて美しい見た目と歯を必要以上に削らないことが大切 (ダイレクト ボンディング)
削る部分は最小限
虫歯治療に大切な要素は、必要最小限の範囲で歯を削り、確実に虫歯に汚染された歯質を削除することです。
また、削ったところを確実に修復するために、いかに人工材料を接着させるか?
という問題が大切になります。
「接着させる」とは、歯と人工材料(レジンなど)を一体化して繋ぎ目をなくすことを言います。 口腔内に存在する細菌の直径は約1ミクロンです。 また、虫歯菌 (S.mutans)の直径は約0.4~0.7ミクロンといわれています。 いかに繋ぎ目をなくして接着させるかということは、細菌や虫歯菌の侵入を防ぎ、治療後の「歯がしみる」という症状を 防ぐことにつながります。
もちろん、審美性も大変重要視します。 虫歯治療後は、定期的なメンテナンスが最も大切なのです。
「接着させる」とは、歯と人工材料(レジンなど)を一体化して繋ぎ目をなくすことを言います。 口腔内に存在する細菌の直径は約1ミクロンです。 また、虫歯菌 (S.mutans)の直径は約0.4~0.7ミクロンといわれています。 いかに繋ぎ目をなくして接着させるかということは、細菌や虫歯菌の侵入を防ぎ、治療後の「歯がしみる」という症状を 防ぐことにつながります。
もちろん、審美性も大変重要視します。 虫歯治療後は、定期的なメンテナンスが最も大切なのです。
このような症状はありませんか?
- 歯がしみる・ズキズキする
- 甘いものを食べると歯が痛い
- 歯ブラシをすると痛い

下顎前歯部の虫歯治療(レジン充填)
case1

- 術前

- 術後
-
- 具体的な治療計画
- 主訴:右下中切歯と側切歯の虫歯
- 患部が審美領域のため浸潤麻酔下にて虫歯を除去し、レジン充填で審美的な修復処置を行った。
- 治療後について
- 歯を必要以上に削っていないので、歯質を出来るだけ保存する
- ことができます。また、歯質の色に近似するレジンの色を選択して
- 使用しているので治療後の審美回復も良好となります。
- 副作用・リスク
- ・レジン充填は、充填テクニックを必要とするため、治療が煩雑に
- なると治療後のメンテナンスが難しく虫歯が再発するリスクが高くなる。
- ・レジン充填部のすり減り、破折や脱離の危険性がある。
- ・レジン充填部は、経年的に着色しやすい。
- 概算治療費
- 前歯部 エステティックレジン充填 8万円+TAX ※1本
上顎前歯の虫歯治療(レジン充填)
case2

- ①術前・・虫歯を削る前に、歯の色を調べます。
-

- ②ラバーダム防湿下での虫歯の除去
-

- ③レジン充填直後
-

- ④術後
-
- 具体的な治療計画
- 主訴:上顎前歯(歯と歯の間)の虫歯
患部が審美領域のため浸潤麻酔下にて虫歯を除去し、レジン充填で審美的な修復処置を行った。
- 治療後について
-
歯を必要以上に削っていないので、歯質を出来るだけ保存する
ことができます。
また、歯質の色に近似するレジンの色を選択して 使用しているので治療後の審美回復も良好となります。
- 副作用・リスク
-
・レジン充填は、充填テクニックを必要とするため、治療が煩雑に
なると治療後のメンテナンスが難しく虫歯が再発するリスクが高く
なる。
・レジン充填部のすり減り、破折や脱離の危険性がある。
・レジン充填部は、経年的に着色しやすい。
- 概算治療費
- 前歯部エステティックレジン充填 2本= 160.000円+TAX
(※前歯部 1本 8万円+TAX)
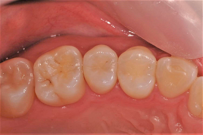
上顎臼歯の虫歯治療(レジン充填)
case3

- ①虫歯の除去
-

- ②レジン充填直後
-

- ③治療1週間後
-
- 具体的な治療計画
- 主訴:上顎小臼歯の虫歯治療(2本)
出来るだけ歯を削らず健康な歯質を残してほしいとの希望であった ので必要最小限に虫歯を削りレジン充填で修復する治療計画を立てた。
- 治療後について
- 歯を必要以上に削っていないので、歯質を出来るだけ保存する ことができます。また、歯質の色に近似するレジンの色を選択して 使用しているので治療後の審美回復も良好となります。
- 副作用・リスク
- ・臼歯部のレジン充填は、修復範囲が広いと患者様の咬む力に
耐えられなくなりレジンが破折する可能性がある。
・レジン充填は、充填テクニックを必要とするため、治療が煩雑に なると治療後のメンテナンスが難しく虫歯が再発するリスクが高くなる。
・レジン充填部のすり減り、破折や脱離の危険性がある。
・レジン充填部は、経年的に着色しやすい。
- 概算治療費
- 臼歯部エステティックレジン充填 2本=100.000円+TAX
(※臼歯部1本 5万円+TAX)


